Microbiology Lab
Exercise 10: Smear
Preparation
Exercise 11:
Simple Staining
Ex 12: Negative
Staining
REVIEW LAB RESULTS FROM LAST WEEK
Ex 10:
Smear Preparation
i. Bacterial cultures (1
slant & 1 broth of E. coli)
ii. Clean microscope
slides
iii. Inoculating loop
iv. Water bottle
v. Sharpie pen
vi. Bunsen burner &
striker
i. Label a short edge of
the slide with the bacteria, your initials, & date
ii. Draw a target circle
about ½” wide
iii. Turn your slide over
so you work on the unlabeled side
i. When you are using
broth, transfer two loopfuls of bacteria to your slide
ii. When you are suing
solid media, place 2 loopfuls of water on the slide, then transfer a SMALL
amount of organisms to your slide
Ex 11:
Simple Staining
·
Look
at the view of Corynebacterium
diphtheriae at
www.mf.uni-lj.si/imi/images/preparati/mikrobi/coryn01.jpg

o
I
went to google & searched “Corynebacterium
diphtheriae images”
o
This
slide was prepared by…
§ Preparing a smear.
§ Staining with
methylene blue for one minute
o
Note
the following in this view…
§ Pleomorphism – irregularity of form
·
C. diphtheriae is a bacillus, but
may look like a rod, club-shaped, spermlike, or needle-shaped
§ Metachromatic granules
§ Palisade arrangement – a “picket fence” arrangement
·
Prepare
a simple stain of Escherichia coli
o
Use
your prepared smear of E. coli
o
Stain
with methylene blue for one minute
o
Rinse
with water
o
Blot
with bibulous paper
o
Observe
under oil immersion lens
·
What
is the morphology and arrangement of E.
coli?
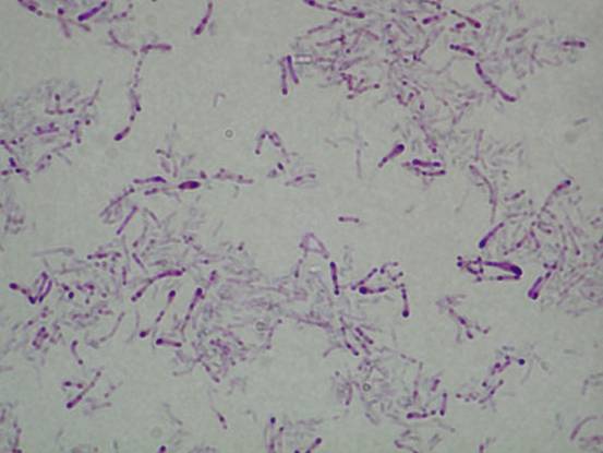
|
Gram Stain of E. coli |
|
|
Ex 12:
Negative Staining of Staphylococcu
aureus and Bacillus megaterium
·
Negative stains – stains that don’t
penetrate the bacterial cell wall, but cause the background slide to appear
dark while the bacteria remain colorless
·
Prepare
2 negative stain slides: 1 each of S. aureus and B. megaterium
o
Label
the slide with the bacteria’s name, your initials, & date
o
Place
a loopful of India ink in the center of your slide
o
Aseptically
collect a loopful of bacteria and transfer them to the slide with the India ink
o
spread
the organisms out over an area of about ¾”
o
Allow
to air dry
o
View
under oil immersion
·
What
is the morphology & arrangement of S.
aureus?
·
What
is the morphology & arrangement of B.
megaterium?
|
Negative stain of
B. megaterium (note the
endospores that don’t take up the
stain) |
Gram stain of S. aureus |
|
|
|